
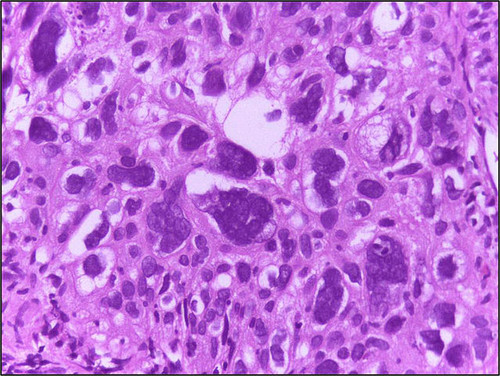
Das unkontrollierte Wachstum von Krebszellen versuchen Forscher seit Jahren zu verstehen und in den Griff zu bekommen. Jetzt haben Wissenschaftler der Mayo Clinic in Florida und der Universität Genf offensichtlich die fehlende „Wachstumsbremse“ entdeckt. Laut ihrem jetzt in der Fachzeitschrift „Nature Cell Biology“ veröffentlichten Studienbericht, ist es gelungen, menschliche Tumorzellen umzuprogrammieren und das Wuchern zu stoppen.
Sie fanden heraus, dass bei der Steuerung der Funktionen der Adhäsionsproteine und bestimmter Microprozessoren (miRNAs) ein bestimmtes Protein wichtig ist. Ohne dieses Protein (PLEKHA7) wissen die Zellen nicht, wann sie aufhören sollen sich zu teilen. Nachdem die Forscher den PLEKHA7-Level durch Injektion korrigiert hatten, hörten die Tumorzellen auf zu wachsen und erholten sich. Dr. Anastasiadis, Vorsitzende der Abteilung für Krebsbiologie an der Mayo Clinic Florida, schreibt in seinem Bericht, dass bereits erste Studien mit ziemlich aggressiven Krebszellen positiv verlaufen seien.
Die Wissenschaftler suchen jetzt nach einer effizienten Lösung für die Re-Programmierung der fehlgesteuerten miRNA. Das bisherige Ergebnis ist sicherlich ein großer Schritt für die Krebstherapie. Doch Krebsforscher warnen vor zu großer Euphorie, denn der Weg vom Labor bis zum Krebspatient sei noch lang und ein Erfolg noch nicht garantiert.
hjo
Lesen Sie auch
Animiertes Leben: Das Unsichtbare sehen
Neues Antibiotikum wirkt auch gegen MRSA
Naturforscher: Auf der Spur des Klimawandels

Sarah Baker Foto: LLL/flickr CC
Wissenschaftler am Lawrence Livermore Forschungslabor haben nicht nur den Schlüssel gefunden, mit...

Foto: Pixabay CC/PublicDomain/Pexels
Superbowl: In der Nacht des Football-Endspiels der besten Teams verzehren die Zuschauer – im...

Foto: Pixabay CC/PublicDomain/Arek Socha
Neue, Idee für die Energiewende: Wissenschaftler der City University Hongkong entwickelten einen...
Foto: Pressenza (CC BY 4.0)
Die Organisationen IALANA, IPPNW und ICAN weisen anlässlich des Tages der Menschenrechte auf den...

Foto: ZDF / Martin Kaeswurm
Der amerikanische Finanzinvestor Blackrock verwaltet im Auftrag seiner Kunden über sechs Billionen...

Screenshot: gunther-moll.de
Eine lebenswerte Zukunft im Einklang mit der Natur ist auf diesem Planeten möglich, wenn wir uns...